Skip to main content

Signs & Symptoms

Jansen's metaphyseal chondrodysplasia (JMC) is a very rare autosomal dominant skeletal dysplasia characterized by short-limbed short stature (due to severe metaphyseal changes that are often discovered in childhood by imaging), waddling gait, bowed legs, contracture deformities of the joints, short hands with clubbed fingers, clinodactyly, prominent upper face and small mandible, as well as chronic parathyroid hormone-independent hypercalcemia, hypercalciuria, and mild hypophosphatemia.

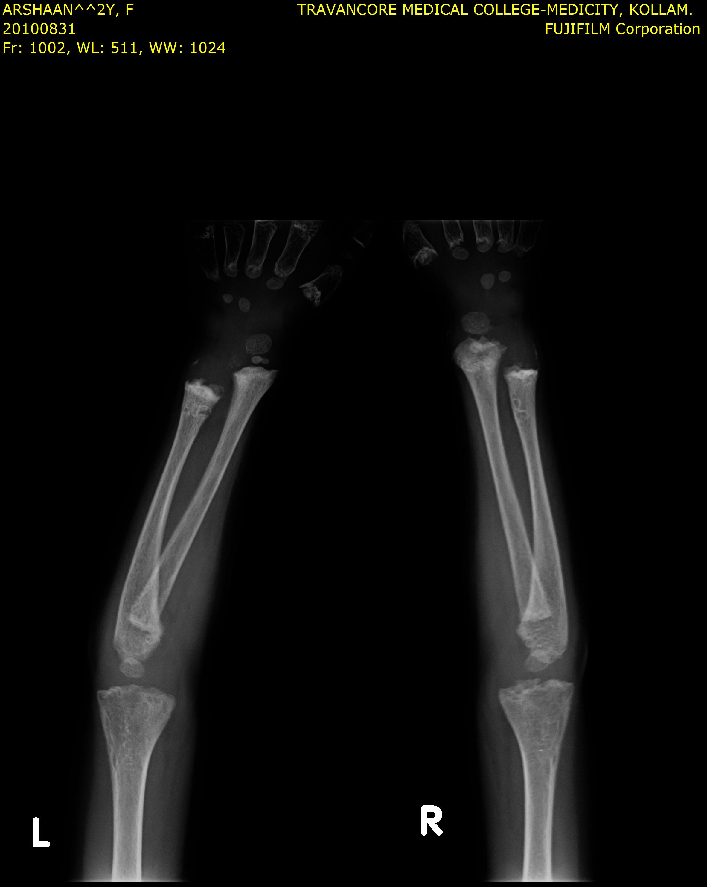
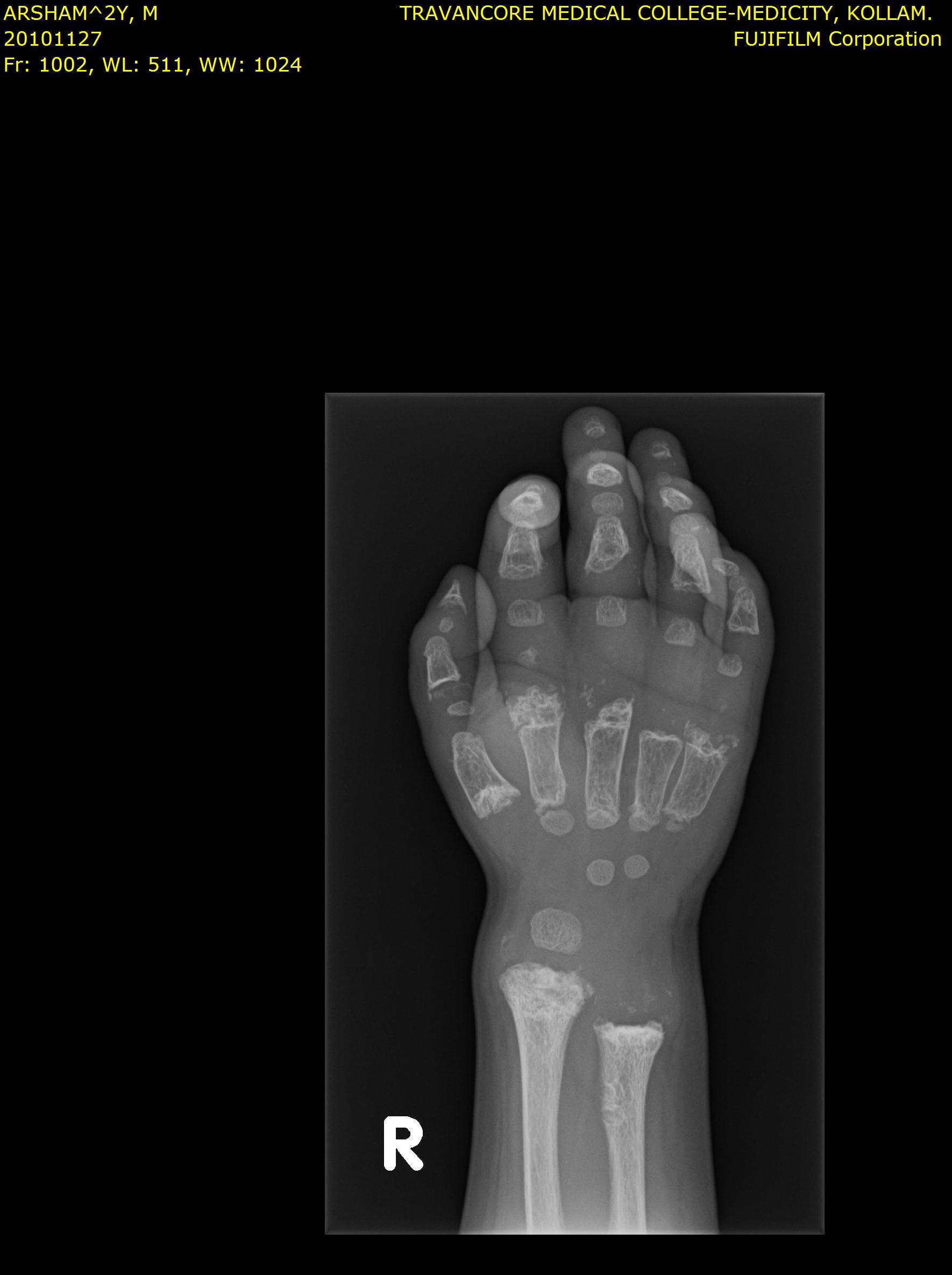
Here we share radiographic images to help with diagnosis of Jansen's disease:

Skull X-ray showing features of Jansen's disease Spine X-ray showing skeletal abnormalities Foot X-ray showing bone changes Additional foot X-ray Hand X-ray showing clinodactyly Additional hand X-ray Hands X-ray showing short distal phalanges Radiographic image associated with Jansen's disease

Jansen's patients show extreme disorganization of the metaphyses of the long bones and of the metacarpal and metatarsal bones in sharp contrast to the almost normal appearance of the epiphyseal centers, which on x-ray appear widely separated from the long bones. The chin is receding. The fingers, especially the distal phalanges, are very short. The spine, pelvis, and lower legs are distorted.

Jansen's patients present at birth with prominent eyes, choanal stenosis, wide cranial sutures, highly arched palate, micrognathia, rib fractures, and irregularities of the metaphyses of the long bones resembling rickets. At the age of 2-3, patients show stunted growth, waddling gait, enlarged joints, prominent supraorbital ridges, and frontonasal hyperplasia.

Clinical photo of patient with Jansen's disease Clinical photo of patient Clinical photo of patient Clinical photo of patient Clinical photo of patient

Full List of Signs and Symptoms

  • Autosomal dominant inheritance
  • Bowing of the long bones
  • Brachycephaly
  • Choanal atresia
  • Choanal stenosis
  • Clinodactyly of the 5th finger
  • Clubbing of fingers
  • Elevated alkaline phosphatase
  • Hearing impairment
  • Hip contracture
  • Hypercalcemia
  • Hypercalciuria
  • Hyperphosphaturia
  • Hypertelorism
  • Hypoparathyroidism
  • Hypophosphatemia
  • Knee flexion contracture
  • Metaphyseal chondrodysplasia
  • Metaphyseal cupping
  • Micrognathia
  • Misalignment of teeth
  • Nephrocalcinosis
  • Osteopenia
  • Pathologic fracture
  • Prominent supraorbital arches in adult
  • Proptosis
  • Severe short stature
  • Short long bone
  • Short ribs
  • Thick skull base
  • Waddling gait